‘치은퇴축’ 잇몸 조직 소실되며 치아 뿌리가 노출되는 현상… 중장년층이나 노년층에서 주로 나타나지만 치아 외상 등에 의해 젊은 연령에 호발하기도

A씨와 같이 잇몸 조직이 소실되며 치아 뿌리 방향으로 치아와 치은 부착 부위가 이동하는 현상을 ‘치은퇴축’이라고 한다. 한 번 내려앉은 잇몸은 심미적인 문제 외에도 통증 등을 동반할 수 있어 그 예방과 치료에 각별한 주의가 필요하다. 오늘은 관악서울대치과병원 김윤정 교수(치주과 전문의)와 치은퇴축에 대해 알아보자.
치은퇴축이 발생하는 대표적인 요인은 불량한 구강위생으로 인한 치주질환이다. 치아와 잇몸 사이 틈새인 ‘치은열구’ 내에 세균성 치태가 쌓이면서 잇몸에 염증이 시작되는데, 이때 하방의 치조골(잇몸뼈)을 녹이면서 잇몸도 따라 내려가게 된다.
김윤정 교수는 “지나치게 단단한 칫솔모를 사용해 과도한 잇솔질을 하는 것, 이갈이 등의 악습관도 잇몸 퇴축을 촉진할 수 있다”라며, “이밖에도 치아 뿌리의 만곡도나 치아가 배열돼있는 포물선 형태인 ‘악궁’ 내 치아의 위치도 영향을 줄 수 있고, 맞닿는 대합치가 없어 치아가 솟아나는 ‘정출’현상이 생기는 경우에도 상대적인 잇몸퇴축이 발생한다”라고 말했다.
잇몸병(치주질환)으로 인한 잇몸 조직의 소실은 주로 중장년층이나 노년층에서 나타나지만, 치아의 외상 등에 의해 치주조직이 얇은 부위에서 발생하는 치은퇴축은 젊은 연령에도 자주 발생한다.
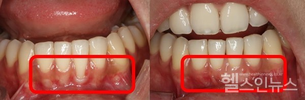
치은퇴축의 치료법으로는 퇴축된 부위 아래 및 측면부 잇몸을 이동시키는 잇몸성형술과 잇몸이식술 등이 있다. 잇몸이식술은 구개(입천장)측에서 충분한 양의 결합조직 이식편을 채취해 퇴축 부위에 덮는 방식으로 진행한다. 치료를 통해 노출된 치아 뿌리를 덮고 잇몸의 높이와 부피를 회복할 수 있다. 이에 앞서, 치주질환으로 인해 전반적인 치조골 소실과 치은퇴축 양상이 관찰되는 경우에는 철저한 치주치료로 더 이상의 퇴축을 방지하는 것이 필수적이다.
치은퇴축의 예방법에 대해 김 교수는 “무엇보다 중요한 것은 구강 위생상태를 늘 청결하게 유지하고 잇몸 염증을 예방하는 것”이라며, “부드러운 모의 칫솔로 올바르게 칫솔질을 하고, 정기적인 치과 내원과 스케일링으로 구석구석 남아있는 치태와 치석을 제거할 필요가 있다”라고 전했다.
이어 김윤정 교수는 “교합 상태를 확인하고 이갈이 등의 악습관이 발견되는 경우 의료진에게 정확한 진단과 조치를 받아야 한다”라며, “또, 치조골이 소실되지 않은 상태의 퇴축부위는 늦기 전에 잇몸이식술을 진행할 수 있도록 전문의료진의 진단과 치료를 받는 것이 중요하다”라고 강조했다.
김지예 헬스인뉴스 기자 press@healthinnews.kr
김지예 기자
press@healthinnews.kr


