이번 승인은 제이엘케이가 뇌졸중 분야에서 FDA 승인을 획득한 네 번째 솔루션이다. 기존 JLK-LVO, JLK-CTP, JLK-PWI와 함께 JLK-ICH가 연동되면서 뇌졸중 전주기 진단과 치료 결정 과정에서 강력한 시너지를 발휘할 것으로 기대된다.

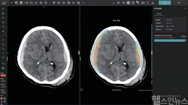
JLK-ICH는 임상연구를 통해 발생 패턴이 다른 5가지 뇌출혈 유형에 대해 높은 검출 성능을 입증했다. 특히 뇌출혈은 혈관이 막히는 뇌경색보다 중증도가 높아 신속한 진단과 치료가 환자 예후에 결정적이다. 회사는 이번 솔루션이 시간 단축을 통해 골든타임 확보에 기여할 것으로 기대한다고 설명했다.
미국은 연간 CT 촬영 건수가 약 8600만 건에 이를 정도로 영상 진단 수요가 높다. JLK-ICH는 이를 기반으로 미국 내 시장성을 확보하고, 매출 확대에 중요한 역할을 할 것으로 기대된다고 회사 측은 설명했다. 회사는 FDA 승인에 이어 일본 PMDA 인허가도 추진하며 글로벌 시장 공략에 나선다고 덧붙였다.
김동민 제이엘케이 대표는 “JLK-ICH의 승인으로 글로벌 시장 진출 기반을 강화했다”며 “자체 구축한 인허가 역량을 바탕으로 향후 보험수가 진입과 현지화 전략에도 집중해 글로벌 경쟁력을 더욱 끌어올릴 계획”이라고 밝혔다.
이종균 기자
press@healthinnews.kr


