퇴행성관절염 초, 중기 환자라면 보존적 치료로 호전을 기대해볼 수 있으나 그렇지 않다면 최후의 보루로 인공관절 수술을 받게 된다. 인공관절 수술 후 환자들은 통증에서 해방됨은 물론 일상생활을 즐겁게 영위할 수 있다. 하지만 문제는 인공관절에도 수명이 있다는 것이다.
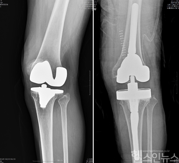
인공관절 역시 무릎 관절처럼 생활 습관에 따라 시간이 지날수록 점차 마모된다. 이런 경우 새로운 인공관절을 끼워 넣는 ‘인공관절 재치환술’을 고려해봐야 한다. 오래된 인공관절이 닳아서 흔들리거나 염증 등 문제가 발생했을 때 시행하며 이 경우 무릎 주변에 통증, 발열을 느끼고 소리도 날 수 있다.
인공관절 재치환술은 새 인공관절을 넣기만 하면 되는 간단한 수술일 것 같지만 의외로 까다롭다. 가장 먼저 고려해야 할 점은 인공관절 재치환술이 필요한 환자가 대부분의 경우 고령이라는 것이다. 합병증을 동반한 이가 많고 또 환부 주위가 염증 등으로 손실된 경우가 흔하다. 본원 통계에 따르면 인공관절 재수술 환자 809명 중 80세 이상이 16%를 차지했다.
따라서 인공관절 재치환술은 경험이 많은 의료진에게 맡기는 것은 물론 고령환자를 케어할 수 있을 만한 시설이 마련된 곳에서 하는 것이 좋다. 재치환술 환자를 위한 ‘인공관절 재치환술팀’이 있는지, 고령환자를 위한 내과와의 협진 체계는 물론 정확한 진단을 위한 대학병원급 검사 장비 구비 여부를 고려해야 한다.

임혜정 헬스인뉴스 기자 press@healthinnews.kr
키워드
#인공관절재치환술
임혜정 기자
press@healthinnews.kr


