중앙대병원 김범준·석준 교수팀, 하버드대 안가람 박사, SCIE급 국제학술지 ‘Lasers in Surgery & Medicine’ 논문 발표

중앙대병원(병원장 권정택) 피부과 김범준·석준 교수팀과 하버드대 안가람 박사는 이중 길이 마이크로 니들을 사용하는 고주파 장비(더블타이트; DoubleTite)의 피부 개선 효과를 분석한 연구 논문(Full-thickness skin rejuvenation by a novel dual-length microneedle radiofrequency device: A proof-of-concept study using human skin)을 최근 발표했다.
피부미용 의료기기 전문기업 아그네스메디컬(대표 안건영)에서 개발한 고주파 장비인 ‘더블타이트(DoubleTite)’는 400μm와 1000μm 이중 길이의 마이크로 바늘이 있는 핸드피스가 탑재되어 있으며 1MHz의 고주파를 발생시키는 의료기기이다.
연구팀은 ‘더블타이트(DoubleTite)’ 치료를 시행한 피부와 시행하지 않은 피부에서의 이중 깊이 효과, 조직학적인 분석, 총 콜라겐 분석, 표피의 구조변화 등을 측정하였다.
그 결과 열화상 이미지와 조직학적인 분석을 통해 서로 다른 길이의 마이크로 니들이 각각 피부 진피층 하부층의 망상진피와 상부층 유두진피에 효과를 나타내는 것을 확인했다.
‘더블타이트(DoubleTite)’ 치료를 시행한 지 4주가 지난 피부의 조직에서 콜라겐 다발 두께와 밀도의 현저한 증가 및 수평 정렬의 개선이 나타났으며, 콜라겐도 높게 나타났는데, 콜라겐 양 측정에서 51.3% 증가한 것으로 나타났다.(그림2)
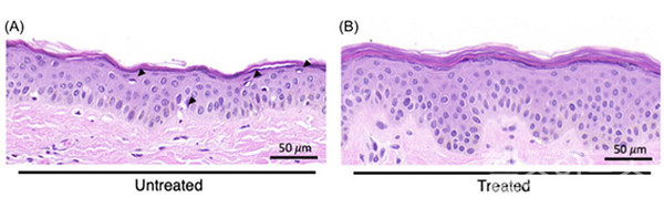
또한, 치료 후 표피의 두께와 세포층의 증가 및 표피-진피 연결부 물결구조의 증가가 나타났는데, 표피는 치료 전에 비해 치료 후 13.1% 더 두꺼워진 것으로 확인됐다.(그림3)
실제 표피-진피 연결부는 구불거리는 복잡한 모양을 하고 있는데 노화가 진행될수록 점점 편평해진다.
이로써 연구팀은 이번 연구를 통해 ‘더블타이트(DoubleTite)’ 고주파 장비가 피부 유두 진피와 망상 진피에 정밀하고 효과적인 피부 노화 개선 효과를 일으키는 것을 입증했다.
중앙대병원 피부과 김범준 교수는 “더블타이트 장비는 지금까지 크게 주목받지 못하였던 유두 진피까지 자극을 주었다”며, “표피의 개선뿐 아니라 진피의 콜라겐 생성을 유도함을 통해 피부 전층의 노화 개선을 일으켜 효과적인 항노화 효과를 나타낼 것”이라고 말했다.
한편, 이번 연구 논문은 SCIE급 국제학술지인 ‘레이저인서저리앤메디신(Lasers in Surgery & Medicine)’ 최신호에 게재됐다.
김지예 헬스인뉴스 기자 press@healthinnews.kr
김지예 기자
press@healthinnews.kr


