
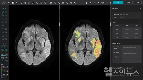
보건복지부는 지난 26일 제21차 건강보험정책심의위원회를 통해 AI 의료기기의 건강보험 비급여를 제이엘케이의 뇌졸중 솔루션 ‘JBS-01K’(뇌경색 유형분류)에 부여했다.
신의료기술이라는 점을 고려해 선별급여, 비급여로 두 가지 방안을 마련했다. 선별급여의 기준이 되는 기준에 의하면 MRI, CT 등 특수영상진단 시 전문의 판독료는 1,810원이지만 비급여 항목으로 분류된 제이엘케이 솔루션의 경우, 상한제도가 적용되더라도 판독료의 30배인 54,300원을 과금할 수 있게 됐다.
보건복지부 측에서 책정한 JBS-01K의 비급여 수가는 54,300원으로 기업 측에서 기존에 책정했던 8만원보다 비교적 낮게 적용됐다. 이는 의료 현장에서 환자가 과도한 비용을 부담하는 것을 방지하는 정부의 정책이지만 환자가 부담하는 비용은 낮아진다.
뇌졸중은 최초 진단 이후에도 2-3회 정도의 추가적인 MRI 촬상이 필요하고 1,2차병원에서 뇌졸중이 의심되는 일반 환자, 건강검진 시에도 AI 솔루션 활용도가 높아 더 큰 시장을 확보할 수 있을 것으로 예상된다. 특히 대학병원의 경우 정부에서 비급여 상한제도를 통해 비용을 결정해 환자 입장에서 더욱 부담없이 기술력 높은 AI 솔루션을 경험해볼 수 있을 것으로 기대하고 있다.
복지부는 "각 군별로 기존기술에 비해 현저한 정확도 향상이나 오류 감소 등 가치가 높다고 평가되면 제품에 따라 10~20% 추가 가산과 권고사항을 적용할 예정"이라며 "향후 사용 현황을 면밀하게 관찰하고 현장의 의견을 지속해서 수렴해 보완해 나가겠다"고 말했다.
제이엘케이는 “당사는 높은 수준의 기술력을 기반으로 뇌졸중 전 주기를 대응하는 세계 최다 솔루션을 보유하고 있으며, 인공지능 분야 혁신의료기술에 대한 최초 건강보험 적용 사례로 국내 1호로서 입증도 완료됐다”며, “11개 솔루션을 차례로 건강보험 수가를 적용받아 의료 현장에 선보일 예정”이라고 전했다.
임혜정 헬스인뉴스 기자 press@healthinnews.kr
임혜정 기자
press@healthinnews.kr


