
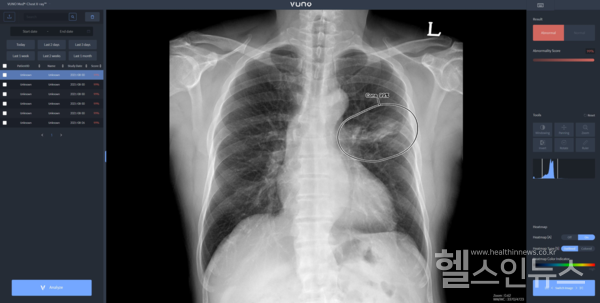
이번 계약으로 뷰노는 AI 기반 흉부 엑스레이 판독 보조 솔루션 뷰노메드 체스트 엑스레이를 디알젬에 공급한다. 디알젬은 전체 엑스레이 장비 라인업에 뷰노의 AI 솔루션을 기본 탑재해 국내 및 해외 주요 국가에 판매할 예정이다.
계약에 따라 양사는 AI 솔루션이 기본 탑재된 엑스레이 장비를 북미와 유럽, 중동 등 기존 디알젬의 글로벌 네트워크를 활용해 판매할 방침이다. 솔루션이 탑재된 제품은 엑스레이 촬영과 동시에 AI로 분석된 결과를 한 번에 쉽게 확인할 수 있어 AI 활용 경험이 없는 국내외 신규 고객의 유입이 활발할 것으로 기대된다.
이예하 뷰노 대표는 “이번 디알젬과의 협업을 통해 B2B 사업을 강화하는 동시에 우수한 임상적 유효성과 제품 연동성을 입증해 온 뷰노메드 체스트 엑스레이를 국내외 더 많은 고객들에게 선보일 수 있게 됐다”며 “해외 성과를 늘리기 위해 제품별로 사업 전략을 다각화하고, 영업과 마케팅을 지속 강화할 계획이다”라고 말했다.
박정병 디알젬 대표는 “지난 수개월 간 해외 병원을 대상으로 뷰노의 AI 솔루션에 대한 검증을 마친 바 있다”며 “전체 엑스레이 장비 라인업에 AI를 탑재함으로써 보다 완성도 높은 제품을 선보일 수 있게 된 만큼, 적극적인 영업을 전개하는 한편 그간 전세계 고객들에게 받아온 신뢰를 이어갈 수 있도록 계속 노력하겠다”고 말했다.
하수지 기자
press@healthinnews.kr


