초음파, PET/CT 등 다학제 정밀진단으로 치료 효과 정량 평가, 안전성 ↑, 재발/합병증 위험 ↓

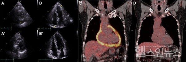
가톨릭대학교 서울성모병원 심뇌혈관병원 순환기내과 정미향(교신저자), 핵의학과 오주현(공동 제1저자) 교수 연구팀은 최근 심장초음파와 양전자단층촬영(18F-FDG PET/CT)의 다학제 영상 검사를 결핵성 심낭염의 초기 진단뿐 아니라 치료 경과 확인에 이르기까지 활용하여 효과적으로 치료하였다.
심낭염이란 흔히 ‘심장에 물이 찼다’고 표현되는 질환으로, 결핵성 심낭염은 심장을 보호하는 심낭에 결핵균이 감염되어 삼출액이 가득 차 심장을 압박하고 심부전을 일으키는 질환이다. 주로 흉통, 기침, 호흡곤란과 같은 증상과 함께 발열, 식은땀, 피로 및 체중 감소와 같은 비특이적 전신 증상이 동반되는 경우가 많다. 발표된 사례의 70대 환자 역시 호흡곤란을 호소하며 내원하였다.
이제까지 결핵성 심낭염의 감별 진단으로 심장초음파, CT, MRI, 양전자단층촬영을 비롯한 각종 영상 검사와 검체 검사를 병행하는 복합적인 전략이 제시되어 왔지만, 치료 후 경과 평가 방법은 아직 구체적으로 정립되어 있지 않았다. 그러나 연구팀은 심장초음파 검사에 양전자단층촬영을 보조적으로 활용하면, 환자의 심낭 내 염증 개선 정도를 정량적으로 확인할 수 있어 치료 평가에 유용하다고 설명했다.
결핵성 심낭염은 일반적으로 6개월간 항결핵제를 복용 후 치료를 종료하게 되나, 염증의 충분한 개선 여부를 심장초음파만으로는 정확히 알기 어려운 한계가 있었다. 양전자단층촬영을 보조적으로 활용하여 치료 종료 시점의 염증 수준을 파악할 수 있다면 결핵성 심낭염의 재발이나 합병증으로 인한 유착성 심막염 위험을 최소화하는 한편, 개별화된 맞춤형 치료 전략을 수립할 수 있게 된다.
한편, 결핵은 국내 법정 감염병 중 코로나19를 제외하면 가장 많은 사망자 수를 기록하고 있다. 대한민국 결핵 환자 지표는 2013년부터 시작된 결핵관리종합계획에 힘입어 상당 부분 개선되었으나, 여전히 OECD(경제협력개발기구) 회원국 가운데 발생률 1위, 사망률 공동 3위를 기록하고 있다. 2023년 기준 국내 결핵 환자는 10만명당 44명으로 OECD 회원국 평균 9.7명 대비 4배 가량 많으며, 특히 65세 이상 고령 결핵 환자 비중은 30.2%(2011년)에서 57.9%(2023년)로 가파르게 증가하는 추세에 있어 의료계는 적극적인 연구와 치료가 필요하다고 평가하고 있다.
정미향 교수는 "이제까지 양전자단층촬영은 심낭 질환의 초기 감별 목적에 한해 유용함을 인정받았지만, 이번 연구를 통해 치료 후 경과를 평가하는데 있어서도 충분한 가치가 있음을 확인하였다"며, "전체 결핵 환자 중 1~2% 내외가 결핵성 심낭염으로 이환되는만큼, 지속적인 연구를 통해 고령 비율이 높은 결핵성 심낭염 환자들에게 더 안전한 진료를 제공하는데 힘쓸 것"이라고 밝혔다.
이번 연구 결과는 '유럽심장저널-심혈관영상(European Heart Journal - Cardiovascular Imaging)' (인용지수 6.2)에 3월 27일자로 게재됐다.
김지예 헬스인뉴스 기자 press@healthinnews.kr
김지예 기자
press@healthinnews.kr


