- 의료진이 놓칠 수 있는 호흡기 질환 진단 효용성 확인, 정확도 최대 23% 상승
- 미국흉부학회 학술지(Annals of the American Thoracic Society) 발표

흉부 방사선 사진은 폐렴, 결핵, 폐암 등 다양한 호흡기 질환의 진단에 중요한 역할을 한다. 그러나 비전문가인 의사들이 판독할 때는 오진의 위험이 있으며, 시간이 많이 소요된다.
연구팀은 “호흡기 질환 진단에서 흉부 방사선 사진의 중요성은 이미 잘 알려져 있지만, 비전문가인 의사들이 이를 정확히 해석하는 데는 한계가 있다. 특히, 정확한 진단을 위해 숙련된 방사선 전문의의 부족은 큰 문제다. 이러한 문제를 해결하기 위해 AI 기반 솔루션의 도입이 필요하다.”고 밝혔다.
이에 연구팀은 2020년 10월부터 2021년 5월까지 국내 3개 의료기관의 외래를 방문한 329명의 환자를 대상으로 연구를 진행했다. 환자들을 AI 기반 솔루션의 도움을 받는 그룹과 받지 않는 그룹으로 무작위 배정하고, 두 그룹 간의 진단 정확도를 비교했다.
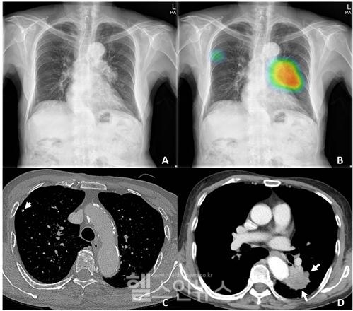
아래 그림은 인공지능(AI) 솔루션이 어떻게 의료진이 놓칠 수 있는 중요한 세부사항을 찾아내는지 보여준다.

AI는 좌측 폐 중간 부위에 있는 종괴와 우측 폐 중간 부위에 있는 작은 결절을 정확하게 감지하여 화살표로 표시했다. 기존의 방식으로는 이러한 병변을 놓칠 수 있지만, AI는 높은 정확도로 이들을 찾아내어 의사들이 더 빠르고 정확하게 진단할 수 있도록 도와준다. 이러한 기술 덕분에 환자는 더 신속한 치료를 받을 수 있고, 의료진은 보다 정확한 정보를 바탕으로 최적의 치료 계획을 세울 수 있다.
연구 결과, AI 도움을 받은 그룹의 흉부 방사선 사진 판독 정확도는 84.0%로, 도움을 받지 않은 그룹의 71.8%에 비해 유의미하게 높았다(P=0.017). 또한, 폐 병변 감지 민감도는 AI 도움을 받은 그룹에서 87%로, 도움을 받지 않은 그룹의 64%보다 높았다(P=0.004). 폐 병변 감지의 음성 예측도는 AI 도움을 받은 그룹이 92%로, 도움을 받지 않은 그룹의 75%보다 높았다 (P=0.003). 이처럼 본 연구는 AI 기반 흉부 방사선 사진 분석이 비전문가인 의사들의 진단 정확도를 높이는 데 크게 기여할 수 있음을 입증했다. 이를 통해 외래 환자들의 빠르고 정확한 진단이 가능해져, 전체적인 의료 서비스의 질이 향상될 것으로 기대된다.
이현우 교수는 “이번 연구를 통해 인공지능이 의료 현장에서 어떻게 실질적으로 활용될 수 있는지를 보여주었다. 앞으로도 AI 기술을 활용하여 환자들에게 더 나은 진료를 제공할 수 있도록 연구를 지속하겠다.”고 말했다.
김국주 헬스인뉴스 기자 press@healthinnews.kr
김국주 기자
press@healthinnews.kr


