김홍석, 유정준 서울대병원 정형외과 교수팀이 1997년 11월부터 1998년 4월까지 3세대 세라믹-세라믹 관절면 인공고관절 전치환술을 받은 57명을 25년 이상 추적하여 이 수술의 장기적 안정성과 기능적 성과를 입증한 결과를 13일 발표했다고 밝혔다.

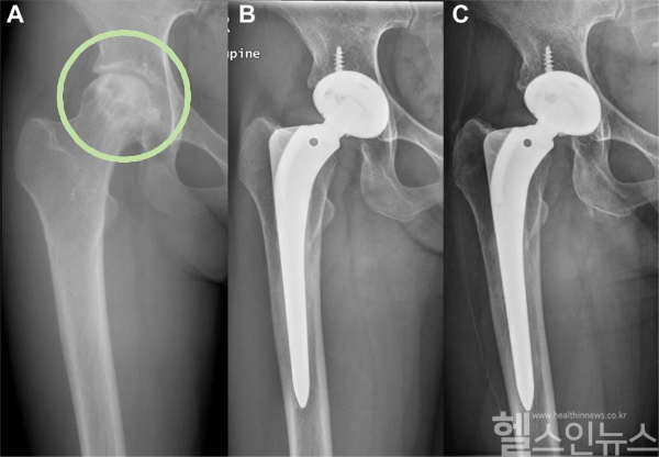
인공고관절에서 기존 관절의 역할을 하는 관절면(베어링)은 인공고관절의 수명에 결정적인 역할을 한다. 특히 3세대 인공고관절에 사용되는 세라믹 관절면은 폴리에틸렌 플라스틱 관절면에 비해 합병증이 적고 수명이 길다. 연구팀은 기존에 5년 및 10년 추적 관찰 연구를 실시하여 3세대 세라믹 인공고관절의 우수성을 입증한 바 있다.
나아가 이번 연구에서는 같은 환자군을 대상으로 3세대 세라믹 인공고관절 전치환술의 장기 안정성을 확인하기 위한 ‘25년 이상’ 추적 관찰이 실시됐다.
영상 분석 결과, 주요 합병증인 인공관절 주변부 골용해(관절면 마모 및 감염 등으로 인하여 뼈 조직이 파괴되는 현상) 및 인공관절 해리(뼈와 인공관절이 분리되는 현상)도 발견되지 않았다.
한편, 세라믹 관련 소음 발생률은 추적 기간이 길어짐에 따라 증가했지만, 고관절 기능 및 환자 만족도에는 부정적 영향을 미치지 않았다.
이번 연구를 통해 3세대 세라믹 인공고관절 전치환술의 장기적으로 우수한 성능이 입증됐으며, 특히 이 치료법은 젊고 활동적인 환자들에게 유효한 선택이 될 수 있다는 것이 연구팀의 설명이다.

한편, 이 연구 결과는 ‘인공관절 저널(The Journal of Arthroplasty)’에 최근호에 게재됐다.
임혜정 헬스인뉴스 기자 press@healthinnews.kr
임혜정 기자
press@healthinnews.kr


