이번 연구결과가 발표된 바이오케미스트리 앤 바이오피직스 리포트는 생화학 및 생물물리학 분야에서 국제적인 명성을 지닌 국제 학술지다.

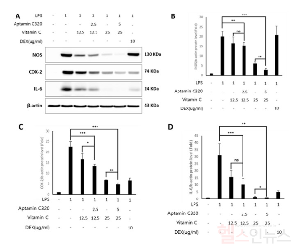
심 대표는 “면역세포 중의 하나인 대식세포에 염증 유발인자(LPS)를 주입한 후 압타민C와 스테로이드를 적용한 결과, 압타민C가 스테로이드 대비해 iNOS와 COX-2 등 염증매개의 원인이 되는 단백질의 발현을 억제해 염증의 신호 전달 체계를 차단했다.
종양괴사인자(TNF-α), 인터루킨-6 (IL-6), 인터루킨-1β (IL-1β)와 같은 염증 사이토카인 생성억제에 우수성을 보였음을 입증하였다”고 설명했다.
넥스모스가 개발한 압타민(Aptamin)은 DNA 압타머(Aptamer)를 통해 산화를 지연 또는 억제시킴으로써 항산화 물질의 안정성과 효능을 극대화시켜 주는 원천물질이다. 압타머(Aptamer)는 특정 물질에만 반응하는 DNA를 발굴하는 기술(SELEX)을 통해 합성된 DNA를 말한다.
넥스모스는 현재 압타민C를 함유한 정제와 크림을 비롯한 화장품을 출시해 판매하고 있다. 향후 이번 효능 실험을 통해 검증된 우수한 항염증을 활용해 다양한 제품을 개발해 출시할 예정이다.
이종균 헬스인뉴스 기자 press@healthinnews.kr
이종균 기자
press@healthinnews.kr


