초기에는 보존적 치료 등으로 증상이 심해지지 않게 치료 시도할 수 있지만 말기가 돼 연골이 다 닳아 없어진 경우에는 새로운 인공 연골을 넣어주는 인공관절 수술이 가장 확실하고 좋은 방법이다. 그러나 인공관절의 안전성과 치료효과와는 별개로 인공관절 수술을 염두에 두고 있는 환자들이 많이 걱정하는 것 중 하나가 바로 ‘인공관절의 수명’이다. 인공관절 역시 시간이 지나면서 마모되기 때문에 수술 후 내 몸에 넣은 인공관절을 얼마나 사용할 수 있는지 우려스러운 것이다.

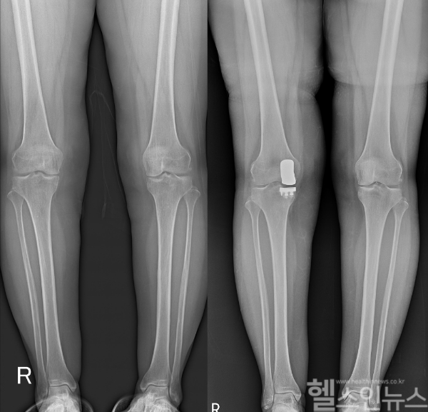
그렇다면 이른 나이에 퇴행성관절염 말기에 다다른 50대~60대 초반 환자들은 어떻게 하는 것이 좋을까? 여러 가지 방법 중에서도 눈에 띄는 대안은 ‘인공관절 부분치환술’이다. 부분치환술은 말 그대로 손상된 부분만 인공관절로 교체해주는 수술법으로 자기 관절을 보존하는데 좋다. 전체를 교체하는 전치환술에 비해 수술 부위가 5-7cm로 작고 회복이 빠르다. 입원기간 역시 짧고 일상이나 직장으로의 복귀가 빠르다는 장점이 있다. 그리고 무엇보다 자기 관절을 보존하기 때문에 정상 관절과 비슷하게 무릎을 구부릴 수 있고, 계단을 오르고 내릴 시 평형감각(Proprioception)을 유지하는 십자인대를 보존하기 때문에 편안함과 안정성을 느낄 수 있다.
다만 부분인공관절 수술은 기존 인공관절 전치환술보다 까다로운 수술로 무릎 관절을 구조물들의 원래 위치를 파악하고 환자의 관절 기능 향상을 위해 정밀한 검사를 통해 위치를 설정해 수술이 이뤄져야 한다. 정확한 수술이 이뤄지지 않으면 빠르면 몇 년 안에도 마모가 돼 전치환술을 하는 경우가 있기 때문에 잘 권유하지 않는 경향이 있다. 통계에 의하면 인공관절 수술 건수 중 10% 정도가 부분 인공관절 수술의 적응증이 될 수 있고, 고령화로 인해 더 늘어날 것으로 예상되고 있지만 수술의 까다로움과 수술 과정이 어렵다는 이유로 현실적으로는 많이 이뤄지지 않고 있는 것이다.
세계적 학술지인 ‘The Knee’에 게재된 ‘인공슬관절 부분치환술의 생체 역학적 결과에 대퇴골 구조물의 위치가 미치는 영향’(Effect of femoral component position on biomechanical outcomes of unicompartmental knee arthroplasty) 논문에 따르면 부분치환술 진행 시 구조물 위치에 따라 치료의 결과가 달라질 수 있다. 무릎 관절을 구성하는 구조물들의 위치는 관절의 기능을 결정하는데 중요한 역할을 하는데 대퇴골 중심에서 내측 및 외측으로 각각 3mm, 5mm 이동된 5개 모델을 보행 하중 조건에서 분석하면 대퇴골 끝부분의 중심에 부분인공관절을 삽입할수록 치료 효과가 높아진다. 이처럼 부분인공관절 수술은 치료 효과를 극대화하기 위해선 정확한 위치에 삽입하는 것이 중요하기 때문에 이해도가 높은 의료기관에서 수술을 받는 것이 좋다.
고용곤 연세사랑병원 병원장은 “부분 인공관절 수술은 내측 인대의 기능이 정상이고 무릎 관절의 굴곡이 90도 이상이어야 고려해볼 수 있다. 정밀한 검사를 통해 정확한 인공관절 삽입위치를 확인해야 하므로 의료진의 임상 경험이 매우 중요하다”고 설명했다.
이어 “다수의 부분치환술 임상 경험을 갖추고 있는지 등 여러 조건을 꼼꼼히 따져 결정한다면 만족스러운 결과를 기대할 수 있을 것이다”라며 “또한 수술 후에는 인공관절 수명 연장과 관절염 예방을 위해 규칙적인 운동으로 관절 주변 근육을 강화해줄 필요가 있다”고 조언했다.
김국주 헬스인뉴스 기자 press@healthinnews.kr
김국주 기자
press@healthinnews.kr


